Vorbeugen ist besser als Heilen! Prophylaxe für Kinder, Jugendliche, Erwachsene und Schwangere ist in der heutigen Zahnheilkunde eine wichtige Säule unserer Arbeit geworden. Mit geeigneten und individuell auf Ihre Bedürfnisse zugeschnittenen Methoden sind wir heute in der Lage, Schäden an Zähnen und Zahnhalteapparat weitgehend zu vermeiden. Die professionelle Zahnreinigung (PZR) bietet hierfür den geeigneten Rahmen: eine speziell ausgebildete Prophylaxehelferin (ZMP) nimmt sich genau die Zeit, die sie in Ihrer speziellen Situation braucht, um Zähne und Zahnfleisch optimal pflegen zu können und Sie bei allen Fragen zu beraten, ggf. auch für Sie neue Techniken einzuüben (z.B. Zahnseide).

Auch die Anwendung von Fluoridlacken zur Stärkung der Zahnhartsubstanz und von Chlorhexidinlacken zur Reduktion der schädlichen Mundbakterien besonders an schwer zugänglichen Stellen gehört dazu.
Parodontitis- und Implantatpatienten betreuen wir besonders intensiv und freuen uns, wenn sie unseren Recall-Service in Anspruch nehmen: sie werden in individuell sinnvoll erscheinenden Abständen an Ihren nächsten Termin erinnert, telefonisch, per Postkarte oder per mail. So steht dem bestmöglichen Behandlungserfolg nichts im Wege und die Mühe hat sich gelohnt!
Natürlich bieten wir unseren Erinnerungsservice auch für alle anderen Patienten an, denen es angenehm ist, ihre Zahnpflegeabstände nicht selber im Auge behalten zu müssen.

Um Ihnen Wege zu ersparen, versuchen wir nach Möglichkeit, Ihnen die Zahnreinigung und die Kontrolle der Zähne durch den Zahnarzt/die Zahnärztin an einem Termin anbieten zu können.
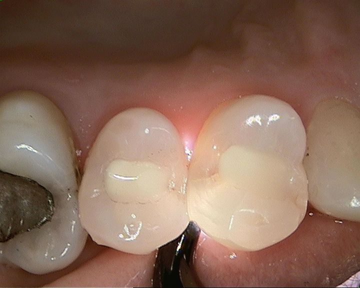
Auch die Fissurenversiegelung stellt eine mögliche kariesprophylaktische Maßnahme dar, wird bei uns aber nur nach genauer Nutzenabwägung und nur durch einen Zahnarzt vorgenommen. Die 100%ige Sicherheit, keine beginnende Karies unter der Versiegelung zu "begraben" und ein stabiler Klebeverbund am Zahn sind uns hier besonders wichtig. Deshalb wird diese in manchen Fällen wichtige Maßnahme bei uns nicht "nebenbei" gemacht, sondern mit genau dem gleichen sorgfältigen Aufwand wie jede andere Füllung auch.
Einige der Prophylaxeartikel, die wir individuell für Sie empfehlen, können Sie preiswert direkt bei uns in der Praxis kaufen.
Falls Sie zum ersten Mal zu uns kommen, können Sie unser Anmeldeformular auch einfach in Ruhe zu Hause ausfüllen.
HAUPTSEITE